Más allá del blanco: lo que dice el tono natural de tus dientes sobre tu salud - Estilo de vida - ABC Color

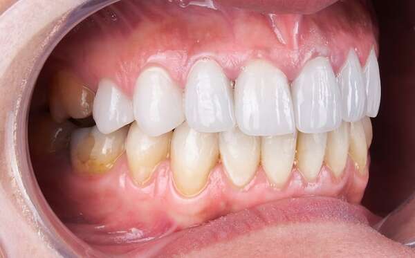
No todos los dientes “sanos” son blanco tiza: el color natural depende del esmalte, la edad y tus hábitos. Pero algunos cambios —manchas blancas, grises o marrones— pueden ser una pista temprana de caries, desgaste o inflamación. ...[Leer más]



Moopio.com no es responsable por las acciones de los sitios web de terceros ni por el contenido que estos publiquen. Las noticias y artículos a los que se enlaza desde este sitio son propiedad y responsabilidad de los autores y editores originales. No tenemos control sobre la veracidad, precisión, o legalidad de la información contenida en estos sitios. Más informacion en Términos de Servicio.


Compartir en Facebook Compartir en Twitter Compartir en Whatsapp Noticias Populares Últimas Noticias
Diario UltimaHora Diario UltimaHora
Empresa de caudales reporta millonario faltante de dinero tras caída de avión Minga Guazú
La caída de un Cessna 402 que transportaba valores en un asentamiento cercano a la ruta PY02, el fin de semana, a la altura del kilómetro 26 del distrito de Minga Guazú, dejó más que un saldo trágico, ya que desaparecieron entre 1,5 y 2 millones de dól... [Leer más]

Abril 21, 2026
Diario HOY Diario HOY
Diario HOY | Vecinos se alzaron con USD 2 millones: policías y criminales están tras la plata
Alrededor de 2 millones de dólares desaparecieron tras el accidente de una avioneta que transportaba caudales en Minga Guazú. Los investigadores ya realizaron allanamientos en busca del dinero, y alertaron que también los criminales de la frontera está... [Leer más]

Abril 21, 2026    Nacionales
Diario UltimaHora Diario UltimaHora
Diputados oficialistas eligen a Latorre para que sea dupla de Alliana
El presidente de la Cámara de Diputados, Raúl Latorre, es el elegido por los diputados oficialistas para que el precandidato presidencial por el cartismo, Pedro Alliana, lo tenga en cuenta en su chapa para el cargo de vicepresidente. Buscarán unanimida... [Leer más]

Abril 21, 2026
Diario EXTRA Diario EXTRA
Acusan a modelo de agredir a una niña de 12 años en Ñemby
En la primera oportunidad, la mujer le agarró del cabello y le golpeó en la cara, luego de que la menor de edad le reclamara por intentar tirarle una piedra a su perro. [Leer más]

Abril 21, 2026    Nacionales
Diario UltimaHora Diario UltimaHora
Bancada colorada disidente rechazará permiso y se inclina por la expulsión de Hernán Rivas
La senadora Blanca Ovelar, de la bancada B de la ANR, adelantó que el sector no dará sus votos para conceder el permiso al cartista Hernán Rivas y que más bien acompañará la pérdida de investidura. Junto a la bancada democrática, suman 16 los legislado... [Leer más]

Abril 21, 2026
Diario EXTRA Diario EXTRA
Baby Shower en el gym: Entrenaron con “panzota” para mimar a la compañera
En un gimnasio se pusieron pelotas con papel film para sentir lo que pesa un embarazo. A los muchachos les costó un mundo hacer los ejercicios. [Leer más]

Abril 21, 2026
Diario ABC Diario ABC
Alerta MAFE: reportan desaparición de varias adolescentes  - Nacionales - ABC Color
El Ministerio de la Niñez y la Adolescencia (Minna) y la Policía Nacional reportan la desaparición de seis adolescentes en distintas localidades del país. Como parte del protocolo de búsqueda de personas, ya está activada la Alerta MAFE con el fin de p... [Leer más]

Abril 21, 2026    Nacionales
Diario EXTRA Diario EXTRA
"Estoy viva de milagro": El duro relato de la joven que perdió el cuero cabelludo en un accidente de Motobolt
Johana Ortiz sobrevivió a un brutal accidente en moto y ya pasó por 15 cirugías. Ahora pide ayuda para seguir su recuperación. [Leer más]

Abril 21, 2026    Nacionales
NPY NPY
"Cerro podría pedir los puntos": Gerardo Acosta analiza responsabilidades tras incidentes en el superclásico
El Dr. Gerardo Acosta se refirió a los hechos de violencia registrados en el Defensores del Chaco, protagonizada por hinchas del Ciclón en el duelo ante Olimpia, el especialista señaló que, ante fallas en el operativo del club local, incluso podría ana... [Leer más]

Abril 21, 2026    Deportes
Diario UltimaHora Diario UltimaHora
Julio Borba renuncia como suplente de Hernán Rivas en el Senado y da lugar a cartista
El médico Julio Borba presentó su renuncia al cargo de senador suplente ante el Tribunal Superior de Justicia Electoral (TSJE) y de esta manera da lugar al director de la Conajzar, el cartista Carlos Liseras , para asumir en reemplazo de Hernán Rivas. [Leer más]

Abril 21, 2026
Noticias Populares Últimas Noticias